Blootliggende tandhalzen? Ontdek onze aanpak

22 april 2026

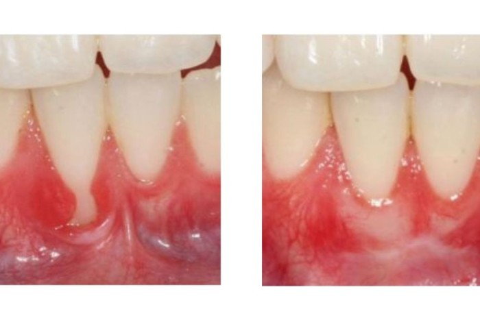
Blootliggende tandhalzen en herstel van gezond tandvlees

Blootliggende tandhalzen, ook wel recessies genoemd, komen veel voor en kunnen klachten geven zoals gevoeligheid bij koude of warme prikkels. Daarnaast kan het invloed hebben op de uitstraling van uw glimlach. Gelukkig is hier iets aan te doen.

Wat is recessiebedekking?

Met een recessiebedekking wordt teruggetrokken tandvlees op een voorspelbare en veilige manier hersteld. De tandwortel wordt weer bedekt, waardoor gevoeligheid afneemt en het tandvlees er weer gezond en natuurlijk uitziet.

Zoals op de afbeelding te zien is, zorgt deze behandeling voor een duidelijke verbetering van zowel functie als esthetiek.

Specialistische zorg, duurzaam resultaat

Wist u dat tandartsen regelmatig naar ons doorverwijzen voor deze specialistische behandeling? Bij PPI Noord-Holland Noord werken we met moderne technieken en veel ervaring op het gebied van tandvleesherstel. Zo bent u verzekerd van hoogwaardige zorg én een resultaat dat lang meegaat.

Heeft u last van gevoelige tanden of merkt u dat uw tandvlees zich terugtrekt? Neem gerust contact met ons op voor advies of een consult. Samen kijken we naar de beste oplossing voor uw situatie.

Home Nieuws Blootliggende tandhalzen? Ontdek onze aanpak