Recessiebedekking

Blootliggende tandhalzen

Blootliggende tandhalzen kunnen verschillende oorzaken hebben. Het kan te maken hebben met parodontitis, te hard poetsen, ouderdom, te snelle orthodontische behandeling of een combinatie van deze factoren.

Deze blootliggende tandhalzen zijn extra gevoelig voor cariës (gaatjes). Daarnaast kunnen blootliggende tandhalzen erg gevoelig zijn. Warm of koud eten en/of drinken kan dan zeer vervelend zijn. Een speciale tandpasta of het aanbrengen van een fluorideapplicatie door de mondhygiënist kan soms al verlichting geven.

Het kan echter ook nodig zijn om chirurgisch de tandhalzen te bedekken (een zgn. recessie bedekking).

Recessiebedekking

Om verergering van de recessie te voorkomen en daarmee eventuele achteruitgang van de tand of kies, kan recessiebedekking plaatsvinden. Hierbij wordt onder lokale verdoving een transplantaat van het eigen verhemelte genomen. Met een speciale techniek wordt dit stuk transplantaat ingeweven op de plek van de recessie.


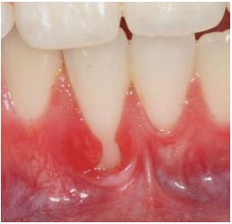
Voor chirurgie
 
Na chirurgie

Direct contact opnemen

Home Behandelingen Recessiebedekking